Pathologists Conclude That Up to 78% of Post-COVID Vaccine Unexpected Deaths Due to Vaccine, as US Excess Deaths Remain High
By Publius, Guest Post
Image above: Professor Dr. Arne Burkhardt (1945 – 2023)
“It’s human responsibility… If I have the education and the ability to see something alarming and a threat to all humanity. There is no way out. Always question what so-called experts tell you. Solidarity demands you step forward and come out when you see something going wrong…If I see a car heading for a child on the street, I have to do something. I cannot just turn my back and say bad luck.” – Prof. Dr. Arne Burkhardt 1945 – 2023
Pathologists from around the world have concluded that out of the autopsies they have performed or reviewed of unexpected deaths post-COVID-vaccine, 74% – 78% were directly caused by the vaccines. Professor Dr. Arne Burkhard, Universities of Hamburg, Berne and Tübingen, who has published more than 150 scientific articles in international scientific journals, and has audited and certified institutes of pathology, said on May 3, 2023 at the European Parliament COVID Conference:
“Our review reveals that actually in 77% of the 75 autopsied persons; the vaccination had an important impact on the death process.” (Transcript)
As for the COVID vaccines being “safe and effective,” none other than mainstream Newsweek now reports that claims of COVID vaccine injuries and deaths are far higher than ever expected, with the government program Countermeasures Injury Compensation Program (CICP) swamped for a decade if not a single new case is added, which is unlikely.
As well, the insurance industry reports that US workers reporting disabilities has skyrocketed 35% since 2021, explaining only that it is a “baffing rise.”
Below: US workers reporting disabilities, source: InsuranceNewsNet.com
Dr. Burkhardt died under mysterious circumstances weeks after his presentation at EU Parliament, with wildly contradictory versions of his death being reported. In one version Dr. Burkhardt drowns after jumping into a lake to save his handicapped son. In another version Dr. Burkhardt somehow falls into the lake but is pulled from it alive after his son raises the alarm, but dies later.
Other pathologists who concur that the COVID vaccines are a major driver of present high levels of excess around the world, which have been so unreported in the media that it represents a public danger, are Dr. Peter Schirmacher, Medical Director of the Pathological Institute Heidelberg, and American Dr. Ryan Cole. Recently, a study which was twice censored against scientific publishers’ own rules, one of the authors of which is Dr. Harvey Risch of the Yale School of Public Health, concluded that out of hundreds of autopsies of sudden post-COVID-vaccine deaths, 74% were likely due to the vaccines.
In August of 2024, Dr. Risch, professor emeritus of epidemiology at the Yale School of Public Health, published a book, Toxic Shot, presenting evidence linking COVID-19 vaccines to 600,000 excess deaths and over 2 million newly disabled people in the U.S.
Stunning Levels of Excess Deaths Going Unreported, 1.7 Million in US Since 2021 Vaccine Roll-Out
Preliminary figures of 2024 US all-cause total deaths show a shocking continuing increase in excess deaths since the 2021 COVID mRNA vaccine roll-out, which are deaths over and above what would normally be expected. Normally US yearly total deaths is a stable number, with 10,000 to 40,000 added on each year as a result of the Baby Boomer demographic.
A spate of articles claims that US death rates are going down, but death rate is different from excess deaths. A death rate is the number of deaths per 100,000 in population, and since record high numbers of recent illegal immigrants is added to population, a manipulated death rate appears to go down.
US All-Cause Deaths
2014 2.63 M
2015 2.71 M
2016 2.74 M
2017 2.81 M
2018 2.84 M
2019 2.85 M
2020 3.39 M
2021 3.5 M
2022 3.3 M
2023 3.1 M
2024 3.1 M
Source: CDC
The new figure brings the total of excess deaths in the US since the 2021 roll-out of the mRNA COVID vaccines, which did not stop one from catching COVID and did not stop people from transmitting COVID, despite blatantly false claims to the contrary by the government, media, and health authorities, to 1.7 million.
In July of 2024, Dr. Phillip Krause, FDA Deputy Chief for Vaccines, said in a congressional hearing, when questioned by Rep. Thomas Massie, that the Pfizer COVID vaccine was never tested for transmission prevention before its release
The vaccine was supposed to bring about herd immunity when 60% to 80% of the population had been vaccinated, which has long been reached.
Below: Rachel Maddow falsely says the COVID shots stop transmission of COVID from one person to another (view at Rumble)
Fauci Saying Vaccines Block Transmission, Keep “Community” Safe, Make You a “Dead End” for the Virus (view at Rumble)
Damage of mRNA Spike Protein Shots Exactly as Predicted, Known to Doctors and Scientists from the Start
Warnings from doctors and scientists about the mRNA COVID vaccines are not new. Here are links to doctors’ calls for halts to mass COVID “vaccinations” over the last 4 years, partial list: 1, 2, 3, 4, 5.
Moreover, the mechanism of immune system self-attack described by Dr. Burkhardt is exactly as predicted in 2021 by eminent immunologists such as Dr. Sucharit Bhakdi, Professor Emeritus of the University of Mainz, winner of the Aronson Prize in microbiology and immunology. Dr. Bhakdi early in 2021 said mRNA agents would cause the autoimmune system to attack its own body, in all the organs.
Below: Dr. Sucharit Bhakdi, Professor Emeritus of the University of Mainz, winner of the Aronson Prize in microbiology and immunology, Mechanism of Spike Protein Damage, 2021 (view at Rumble)
In December 2024 in the peer-reviewed Public Health Policy Journal, three German scientists call for an immediate halt on all mRNA agents, including COVID shots, saying “Spike protein is a highly toxic substance that causes damage to all organ systems. We can connect spike protein to vaccine-related deaths and serious adverse events as it’s been directly found in the brain, adrenal glands, heart, and blood of injured and deceased individuals.”
Most recently, a group of thousands of doctors and scientists have been circulating the Hope Accord Petition, yet another call for a halt to the mRNA COVID vaccines and all other mRNA drugs.
Former Pfizer Chief Science Officer and Vice President Dr. Mike Yeadon, contends that, far from unfortunate deaths and injuries from the vaccines being due to hasty development and “fog of war,” they were known to be deadly and were made so deliberately from the start.
Dr. Burkhardt’s Work
Below is the detailed slide presentation made by Dr. Burkhardt at the International Covid Summit at European Parliament in May 2023, weeks before he died. At 79, Dr. Burkhardt was yet a vigorous man who could put in 20 hour days in his laboratory.
Pathologist Dr. Arne Burkhardt,Presentation at the International Covid Summit at European Parliament May 2023 (view at Rumble) (Presentation slides)
Dr. Burkhardt’s principle conclusions:
“In these 75 cases now we have 78% where we are certain that the death process was in some way influenced by the vaccinat ion…” – Professor Arne Burkhardt, MD, Professor of Pathology Universities of Hamburg, Berne and Tübingen. Final interview in May 2023 before death on May 20, 2023 (transcript)
And:
“Beyond any doubt, injection of gene-based COVID-19 vaccines places lives under threat of illness and death. ” – Prof. Dr. Arne Burkhart and Professor Dr. Sucharit Bhakdi, Professor Emeritus of the University of Mainz, and winner of the Aronson Prize in Microbiology and Immunology, “On COVID vaccines: why they cannot work, and irrefutable evidence of their causative role in deaths after vaccination.”
And:
“Our review reveals that actually in 77% of the 75 autopsied persons; the vaccination had an important impact on the death process.” – Professor Arne Burkhardt, presentation at European Parliament, May 3, 2023. (transcript)
Dr. Burkhardt’s work was cited in a peer-reviewed Australian paper published at the National Institute of Health (NIH) website, which called for a “suspension” in the use of not just the COVID mRNA vaccines but all mRNA vaccines, writing in the “conclusions” section:
“We… advocate for the suspension of gene-based COVID-19 vaccines and lipid-nanoparticle carrier matrices, and other
TRANSCRIPT of Dr. Burkhardt remarks at European Parliament COVIT Summit, May 2023 (Presentation slides)
“Good afternoon and I would like to thank that I have the opportunity to talk here about the results that we have achieved in the last two years by doing autopsies and bioptic examinations of histopathological specimens in Reutlingen, Germany.
Actually, it was only three months after the vaccination campaign started that the first relatives came to me, and asked me if I could re-evaluate the autopsies that were done by coroners and by other pathologists because they did not believe in natural death causes.
So, by now we have 75 autopsies that we have evaluated and all people that died in timely connection with the vaccination, and increasingly, we get a surgical and bioptical specimens and we are by 50 sub specimens now and they are increasing.
Now, of course, from the beginning when we saw the first cases we realized that there was a new therapeutic vaccine that was a new way of action on the body, so it was clear that there had to be some new disease entities that we had to discover actually, and it was a toxin, apparently not coming from the outside where you examine the contents of the stomach or the serum, but it was a toxin produced by the body itself.
So we had to look for the toxin in the tissue; in the cells, and that meant that we had to develop a method to demonstrate this by (histology?) chemistry in the tissues.
So it became very clear from the first cases that I looked at—first I was alone with this—but it developed into a scientific project because of these many new and very alarming scenes that we saw, and by now, we are about 10 scientists internationally; we are a loose group collaborating in different fields and chemists and physicists and biochemists, working together just depending on the question.
Our review reveals that actually in 77% of the 75 autopsied persons; the vaccination had an important impact on the death process.
In 77% of the autopsies, the findings indicate that vaccination had an important impact on the death process
… all organs are affected
… the spike protein is in practically in all organs, mainly in the vessels
Image of vessel damage: (2/11)
Now, you have to know that the older the gap, the most more complicated the process of this is, but definitely in these 77%, it was a major contribution.
This is very different from the first reports on the autopsies, which many of them had been done without histology, and in the first diagnosis was there was a natural cause of death in 91%—so only in 10% the possibility of vaccination damage was discussed.
Important is in our series, in 80% these cases, were what we call now the SADS (Sudden Adult Death Syndrome), so they dropped that at home; on the street; in the car, and the advantage for us was that there are practically no therapeutic effects that we have to look for.
So if you have people who have been artificially [ventilated/respirators], you have changes in the lung from the therapeutic methods.
So some basic effect of course is overlap between the true viral infection and the vaccination effects on the body, but this overlap is very small because, first of all there are differences in the composition, like the vaccine has adjuvents, it has contamination, and second, the entrance in the body is different because the natural infection comes through the nose, the throat, and the airways, and this is an epithelium that is immunocompetent. The immune cells are already there, waiting for the virus to enter.
Now, if you inject the vaccination into the muscle, and finally, it always gets into the vessels, and into the blood, so if you do this, this is these are both tissues that have no immunocompetence—so there’s no defence by the body, primarily.
So, it’s the endothelium that is the first a target of the vaccination and as we have endothelium in all organs except for the teeth and some other structures—all organs are affected, and actually we could demonstrate the spike protein in practically all organs—mainly in the vessels.
Heart Tissue (Pfizer/Comirnaty)
Heart tissue with disintegrated muscle fibres and lymphocytic infiltration
Detection of spike protein in the heart tissue (3/11)
The first picture here shows you on the left side a normal a small vessel in the heart muscle and you see these spindle cells that surround the vessel like a wallpaper. They are very delicate, and in the middle in the lumen there are erythrocytes and some leukocytes.
On the right side you see a victim of the vaccination, and you see the small vessel is destroyed, the spindle cells you can still see these are the remnants of the endothelium, and the dark dots are the lymphocytes that are attacking them.
I could show practically in all organs, similar pictures, referring to the preceding presentations also in the testes, in the ovary, and other organs.
So the science and public attention has mainly paid to the acute deaths and adverse effects of the vaccination, and we focused on the long term effects.
We focused on those structures that are not renewables, so this is the heart. We already heard about the myocarditis and you see the destruction by lymphocytes, and on the right side the demonstration of the spike protein.
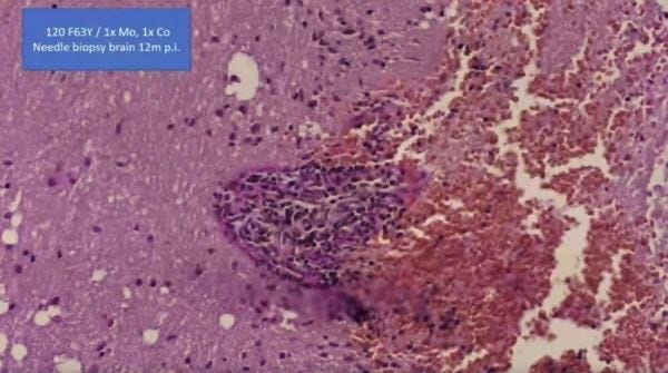
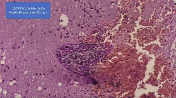
Brain Tissue
Needle biopsy of brain tissue (4/11)
Damaged vessel with dense infiltration of lymphocyte and bleeding in the surrounding area
Here you can see this is a needle biopsy from the brain, and you see in the middle a vessel with the dense infiltration of lymphocytes and the necrosis and bleeding in the surrounding.
Damaged brain tissue
Damaged brain tissue (5/11)
Spike protein in nerve cells (left picture above)!
(The COVID-19 vaccine probably caused an transfection of neurons so that they produced the spike protein and were then attacked by the immune system)
You can see that also on the upper-left, you see the vessel is the inflammatory infiltrate that is positive, and then you can see also that the nerve cells express the spike protein, and I personally would prefer to use by nerve cells for syncing and not for producing the spike protein.
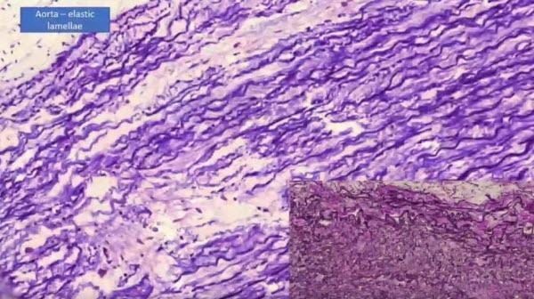
Damaged elastic fibres
Damaged elastic fibers (a main component of vessels) (6/11)
Defects in the structure of the aorta (main vessel of the body)
Another permanent structure that is not so well known are the elastic fibres and the elastic fibres are the main component of the vessels, and here you can see that there are defects in the structure of the aorta—the main vessel of the body. I think even a layman can see that there’s a hole practically in the middle which we call a medial necrosis.
Aorta rupture
A specimen of the aorta (7/11)
Clear damage can be seen: on the right is a splitting of the tissue layer and a haemorrhage visible
Person died of rupture of the aorta
Here you can see there’s specimen of the main vessel of the aorta, and on the left side you see the wall is still coherent, and then there’s a split and there are actually two parts of the wall and in the middle the dark is blood. This person died of a rupture of the aorta.
Brain Vessels
Damage of the vessels in the brain
Fragmented elastic lamella
Microaneurysm (8/11)
We can find the same defects in the small vessels of the brain.
You can see the dark is the elastic lamella, they are clumped together and fragmented, and you see on the left side below these elastic lamella are missing, actually and this is a micro aneurysm.
Elastic Fibres in the Skin (vs Healthy)
Damaged elastic fibers in the skin (causes skin aging -> premature aging)
These elastic fibers were dramatically reduced
Right figure above: healthy elastic fibers (9/11)
Finally, one more structure that contains elastic lamella is the skin, and you see it on the right upper-side, that normal skin we see elastic fibres which gives the young appearance of people which have a good skin.
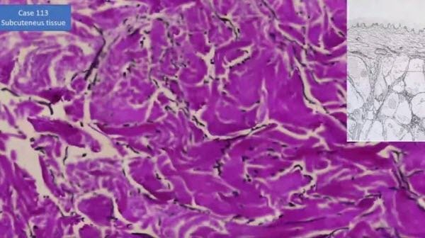
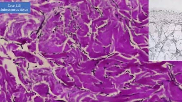
Elastic Fibres in the Skin (Dramatic Aging of Vaccinated)
Damaged elastic fibers in the subcutaneous tissue (10/11)
And here on the on the whole picture you see a 30(?)-year old man, and you can see that these elastic fibres are dramatically reduced, and they are not only directly under the basement membrane reduced, but also in the subcutaneous tissue, you can see again, normal and destruction.
Conclusion
So to come to the conclusion.
There are non-regulating elements lost forever, and these are the heart muscle valves, this results in physical weakness, to handicap, and temporarily loss, and actually we had one patient who was an athlete who committed suicide because he could not participate in any competitions anymore.
Second are the nerve cells. These resulted in multiple neurological failure and death, a temporary loss of speech, heavy personality changes, and unconscious periods.
Third (and not so well known and not talked about so much until now) are the elastic lamella. Now, the elastic lamella are never replaced after puberty, so if they are lost they are lost, and what is the consequence? In arterial vessels resulting in immediate necrosis structure death and scar, and if there’s a scar, the elasticity of the order of the arteries are going down, and the blood pressure rises.
So in the skin, this results in premature aging.
I am sorry to say, since people know I have a telephone, they call me, and I will have some kind of a telephone counselling, and one of the most frequent complaints now, is that somebody calls and says, “Well my my husband looks 10 years older since he has been vaccinated,” and I think I know why: Loss of elastic lamella.
So I think these are devastating findings for the long term, because in 10 years nobody will think that maybe the blood pressure rise may have resulted from the lesions in the aorta, so I think this is really alarming, and that is why we have to go to the public. Thank you.”
Present Legal Actions Against Vaccine Mandates Recall Nuremberg Code Against “Coerced” Medical Experimentation, Such as Threat of Job Loss
In related legal actions, a lawsuit first filed in 2021 against Houston Methodist Hospital by over 100 healthcare professionals refusing to comply with new COVID vaccine mandates is going to the Fifth Circuit Court of Appeals, after being struck down by judges under arguments such as the defendants didn’t actually physically give the shots to the plaintiffs, and that the World War II Nuremberg Code only applied to countries, not private companies. The latter argument would then presume that people could engage in forced medical experimentation as long they were private entities.
The judge in the case who dismissed it perfunctorily took offense to the COVID vaccine program being compared to Nuremberg. However, neither did U.S. District Judge Lynn Hughes address the findings of the eminent pathologists concluding that the COVID vaccines were the direct cause of many deaths.
Below: Headline reporting original 2021 case
Who is Responsible?
Such a massive undertaking as managing, and perhaps even creating, a worldwide pandemic must branch into many responsible parties and institutions, but most people are startlingly ignorant of the fact that the World Health Organization (WHO), the single most important institution in pandemics , is in every way a front organization for Bill Gates. When the amount contributed by Gates-founded-and-controlled GAVI is included, Gates is the single largest funder of WHO, bar none, including the US government.
It is WHO guidance which national health authorities like the FDA and the CDC follow. Doctors and scientists are censored based on whether what they say agrees with WHO. Gates is neither a doctor, nor even a college graduate.
“This largesse gives him outsized influence over its agenda, one that could grow as the U.S. and the U.K. threaten to cut funding if the agency doesn’t make a better investment case.
The result, say his critics, is that Gates’ priorities have become the WHO’s.”
GAVI the Global Alliance for Vaccines and Immunization was founded by Gates and is a creature of the Bill and Melinda Gates Foundation.
WHO President “Tedros” with Gates. Tedros is also a certified terrorist as a member of the Ethiopian Tigray People’s Liberation Front (TPFL,) which is still on the US State Department’s Watch List.
Gates’ checkered past is obscured by a screen of indignant “fact checks” of “conspiracy theories” about him, such as his Gardasil trials, before it was approved in the US, in India. The “fact checks” are written by and/or published by a media complex to which, it was found, Gates has bankrolled to the tuned of $319 million.
In the Gardasil trials, girls whose parents could neither read nor sign a consent form in many cases used their thumbprint as a signature. Many girls died or were crippled in the trials, although an Indian Parliament committee, one of the most corruptible institutions in the world, found no causal relationship between the trials and the injuries.
In the below documentary an Indian doctor expresses his belief that the Gates trials killed children. Similarly in Africa, Gate polio vaccine experiments eventually resulted in thousands of deaths.
Banned documentary on the crimes of Bill Gates (view at Rumble)
But perhaps the least known facts about Gates may relate to the most recent large-scale drug experiment, the COVID vaccines. Or rather, his active involvement in every key aspect of the narrative that led to the COVID vaccine mandates in the US and around the world.
Briefly, Gates:
Funded major hydroxychloroquine (HCQ) trials which knowingly gave possibly fatal doses of HCQ to subjects in 2020 in order to malign HCQ as a treatment for COVID. This paved the way for FDA “emergency use authorization (EUA”) for the COVID vaccines, before clinicals trials were completed. FDA rules prohibit drugs from getting EUA if there are effective alterative remedies.
Paid Imperial College professor Niel Ferguson to author “Report 9,” the discredited, hastily written, non-peer-reviewed paper which justified worldwide “lockdowns” and “social distancing.” Report 9 was the source of the threatened possible “2.2 million dead” in the US if “mitigation” measures were not taken. Johan Giesecke, the former chief scientist for the European Center for Disease Control and Prevention, called the “Report 9” model “the most influential scientific paper” in memory, and also “one of the most wrong.”
Funded and participated in a pandemic “simulation” which uncannily resembled COVID long before the first cases were reported out of bat caves in China.
Funded, through the same center at the UK’s Imperial College where the “Report 9” lockdown paper was authored, the study endlessly cited in the media which holds that “20 million” lives have been saved by the COVID vaccines, a figure called “nonsense” by University of Ottawa Professor Denis Rancourt.
Data Shows Fits-Like-a Glove Correlation Between Vaccine Uptake and Excess Deaths Over Time
Dr. Naomi Wolf, a former Bill Clinton White House advisor, in October 2023 published startling correlations in many countries between COVID vaccination rates and excess deaths in that country, over time. Nevertheless the findings were buried by the media, rather than subject to open debate.
Below: Correlation of excess deaths and COVID vaccination rates in various countries. Source (CLICK ON IMAGE FOR LARGER IMAGE)
COVID Vaccine Documentaries and Support
Documentary: Anecdotals (view at Rumble)
Documentary: Safe and Effective (view at Rumble)
Truth be Told (view at Rumble)
Support Groups
Telegram: COVID Vaccine Injuries
Real Science COVID Vaccine Information
Related:
This is Why They Blanket Pardoned Fauci
How Bill Gates Orchestrated 1 Million U.S. Deaths Without Getting Caught
























